鼠抗人:单克隆抗体 适用组织:石蜡切片
克隆号: 2D2 预处理:热修复(EDTA)
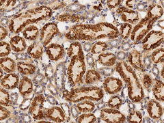
阳性部位:细胞质 阳性对照:肾脏
注册证号:粤中械备20200109号
Bax是Bcl-2的家族成员,其蛋白分子量为21kDa。与Bcl-2不同的是,Bax是细胞凋亡的促进因子,正常情况下,Bax可与Bcl-2和Bcl-XL形成异二聚体。可阻止细胞凋亡的发生。其促进凋亡的作用可能是通过Bax过表达会导致Bax同二聚体的形成,诱导Caspase的释放来实现的,Caspase能激活来自线粒体法人细胞色素C。此抗体主要用于滤泡性淋巴瘤和细胞凋亡等方面的研究。
|
产品代码 |
产品编号 |
规格 |
备注 |
|
|
AQ21188 |
NCL-L-BAX |
0.2mL/瓶 |
浓缩型 |
|
|
AQ21189 |
NCL-L-BAX |
1mL/瓶 |
浓缩型 |
|
|
AQ21190 |
RTU-BAX-QH |
2mL/瓶 |
即用型 |
|
|
AQ21191 |
RTU-BAX-QH |
7mL/瓶 |
即用型 |
|
|
AQ21192 |
BOD-BAX-QH |
7mL/瓶 |
机载型 |
|